폐암 1기 진단과 초기 치료 방법

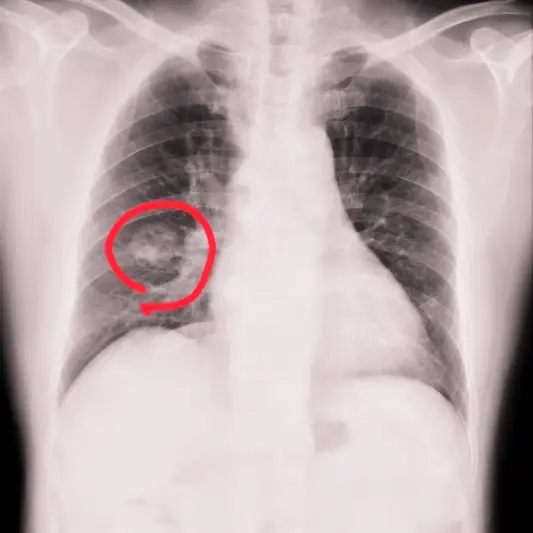
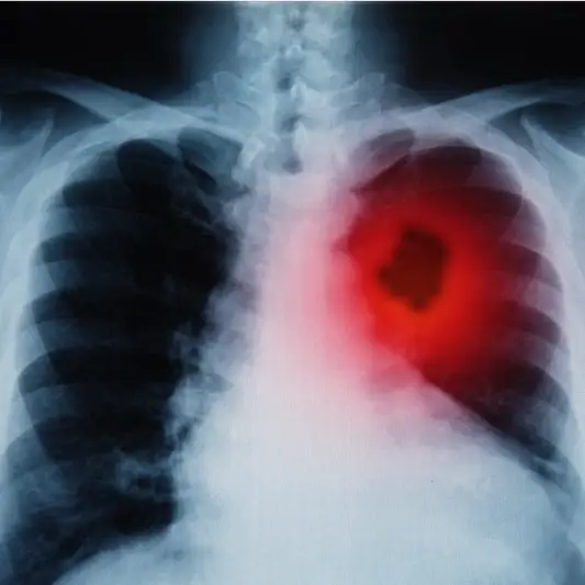
암은 많은 사람들에게 공포를 주는 질병 중 하나입니다. 특히 폐암은 그 중에서도 치명적인 위험이 있는 암 종류입니다. 그러나 폐암이 초기 단계에서 진단되면 생존율이 크게 개선될 수 있습니다. 1기 폐암 진단과 초기 치료 방법에 대해 알아보겠습니다. 폐암 1기 진단은 환자의 증상과 조직 검사, 영상 검사를 통해 이루어집니다. 초기 단계에서 병변의 크기와 위치를 확인하고 암세포의 유무를 확인합니다.
폐암 1기 진단의 중요성
폐암은 악성 종양으로서, 조기에 발견되면 치료 가능성이 크게 향상될 수 있습니다. 그렇기 때문에 폐암 1기 진단이 매우 중요합니다. 일반적으로 폐암은 초기에는 증상이 거의 없거나 미미하여 환자가 자신의 건강에 대해 인지하지 못할 때가 많습니다. 그러나 폐암은 조기에 발견되면 대부분 완치 가능한 암입니다. 따라서 이를 위한 철저한 진단이 필요합니다.
폐암 1기 진단을 위해서는 정기적인 검진이 중요합니다. 폐암 검진에는 흉부 X-선, CT 스캔, PET 스캔 등이 사용될 수 있습니다. 이러한 검사를 통해 의사는 폐암의 존재 여부와 정확한 위치를 확인할 수 있습니다. 또한 폐암의 크기, 종류, 세포의 특성 등을 파악하여 적절한 치료 방법을 결정할 수 있습니다.
폐암 1기 진단은 환자에게 많은 이점을 제공합니다. 첫째로, 조기에 발견되면 폐암의 치료 가능성이 크게 향상됩니다. 크기가 작고 퍼진 부위가 적은 폐암은 수술이나 방사선 치료 등을 통해 완전히 제거할 수 있는 경우가 많습니다. 둘째로, 폐암이 진행되기 전에 발견되면 생존율이 상당히 높아집니다. 폐암은 조기에는 증상이 나타나지 않거나 미미하기 때문에 적극적인 검진이 필요합니다.






하지만 폐암 1기 진단이 중요하다고 해서 모든 사람이 규칙적인 검진을 받는 것은 아닙니다. 저희나라의 건강보험 적용 사항에 따라 일부 이외의 상태를 검진하거나, 자만심 등으로 인해 의사의 진단을 받지 않는 경우들도 많이 있습니다. 하지만 무덤덤한 자세는 폐암을 비롯한 암이나, 다른 중증의 치명적 결과를 초래할 수 있으니 시간이 가는만큼 준비된 자세로 대처하셔야 할 것입니다.
폐암 1기 진단은 생명을 구하는데 큰 역할을 합니다. 폐암의 초기 증상을 무시하지 말고, 정기적인 검진을 받아 폐암을 조기에 발견하고 적절한 치료를 받을 수 있도록 노력해야 합니다. 건강은 생명의 가장 귀중한 보호막입니다. 이러한 의식을 가지고 건강을 관리하는 일상을 유지하세요. 휴식도 적당히 취하고, 영양도 균형있게 챙기면서 폐암 1기 진단의 중요성을 명심하세요.
초기 폐암 치료 방법
폐암 1기 진단과 초기 치료 방법에 대한 포스트를 작성하려고 합니다. 폐암은 매우 위험한 질병이지만, 조기에 발견하고 치료한다면 생존율을 높일 수 있습니다. 초기 폐암 치료 방법에 대해 알아보겠습니다.
폐암 1기는 폐조직 내에서 악성 종양이 형성되었음을 의미합니다. 이 단계에서는 종양이 아직 주변 조직으로 번지지 않고 지역적으로 제한되어 있습니다. 따라서 초기 폐암 치료는 주로 수술로 이루어집니다.
폐암 1기 치료의 주요 방법은 수술입니다. 수술은 종양이 있는 부분을 완전히 제거하는 것을 목표로 합니다. 이를 위해 일반적으로 경피적폐생검(CT가이드하에 종양을 수집하여) 후 확진된 환자에게는 말초폐부분절제술(혹은 폐절제술)이 시행됩니다.






처음으로 수술 후에는 일반적으로 항암요법이 추천됩니다. 이는 재발 위험을 줄이고 생존 기간을 연장시키기 위한 것입니다. 항암요법은 폐암 세포를 죽이는 항암제를 사용하여 수행되며, 방사선 치료와 병합되기도 합니다.
초기 폐암 치료 방법은 매우 중요한 주제입니다. 조기 발견과 적절한 치료가 생존율을 크게 향상시킬 수 있습니다. 폐암에 대한 인식을 높이고 주기적인 검진을 받는 것이 중요합니다.
위 내용에 대한 포스팅은 이렇게 마치겠습니다. 초기 폐암 치료가 얼마나 중요한지를 알리고, 폐암에 대한 인식과 조기 진단의 중요성을 강조하고자 합니다. 저희 포스팅이 여러분들에게 도움이 되길 바랍니다.
폐암 1기 예방 및 조기 발견의 중요성






폐암은 많은 사람들에게 치명적인 질병입니다. 그렇기 때문에 폐암의 1기 예방과 조기 발견은 매우 중요합니다. 조기에 발견하여 제때 치료를 받으면 생존율이 크게 향상될 수 있습니다.
폐암의 주요 원인 중 하나는 담배피우기입니다. 흡연은 폐암 발생의 주요한 원인으로 알려져 있으며, 흡연자들의 폐암 발생 위험은 비흡연자보다 상당히 높습니다. 그러므로 흡연을 피하는 것이 가장 확실한 예방 방법입니다.
뿐만 아니라, 실내와 실외의 공기 오염도 폐암 발생 위험을 높입니다. 미세먼지, 공업 배기가스 등으로 오염된 공기를 계속해서 흡입하면 폐암 발생 가능성이 크게 증가할 수 있습니다. 따라서 실내에서 공기 청정기를 사용하거나, 실외에서는 마스크를 착용하는 것이 폐암 예방에 도움이 됩니다.
또한, 폐암의 조기 발견은 생존율을 크게 높일 수 있습니다. 폐암은 초기에는 증상이 거의 없어서 잘 알려지지 않았습니다. 그러나 최근에는 폐암 스크리닝 검사의 중요성이 부각되어 많은 사람들이 해당 검사를 받고 있습니다. 폐암 스크리닝은 폐의 암세포를 조기에 발견하여 치료할 수 있는 기회를 제공해줍니다.
폐암 1기 진단과 초기 치료 방법도 매우 중요합니다. 폐암이 조기에 발견되면 암세포가 아직 주변 조직으로 확산되지 않았을 확률이 큽니다. 이 경우 수술이나 방사선 치료 등의 치료 방법을 통해 암세포를 제거하고 치료할 수 있습니다. 하지만 발견이 늦어지면 치료가 어려워지고 생존율이 현저히 낮아질 수 있습니다.
폐암에 대한 예방과 조기 발견은 우리의 건강을 지키는 데 매우 중요한 역할을 합니다. 정기적인 건강 검진을 받고, 폐암 스크리닝에 참여하는 것은 자신의 건강을 지키는 첫걸음이 될 수 있습니다. 건강한 삶을 위해 폐암 예방과 조기 발견에 주의해야 합니다.폐암 1기 환자를 위한 생활습관 개선 방법
폐암 1기 환자를 위한 생활습관 개선 방법
폐암 1기 진단과 초기 치료 방법에 대한 글을 작성하려고 합니다. 폐암은 많은 사람들에게 큰 고통을 안겨주는 암 종류 중 하나입니다. 따라서, 폐암 1기 환자들을 위해 생활습관 개선 방법을 알아보고자 합니다.
먼저, 금연은 폐암 1기 환자들에게 가장 중요한 습관 개선 방법 중 하나입니다. 담배 연기는 폐암 진행을 가속화시키고 합병증의 위험을 증가시킬 수 있으므로, 폐암 1기 환자들은 반드시 금연을 실천해야 합니다.






또한, 적절한 식단 조절 역시 폐암 1기 환자들에게 도움이 될 수 있습니다. 식이 섭취량을 조절하고 건강한 식품 선택을 통해 영양 섭취를 균형 있게 할 수 있습니다. 신선한 과일과 채소, 고기와 어패류의 적절한 섭취는 폐암 1기 환자들의 건강에 도움이 될 것입니다.
또한, 일정한 운동 실천은 폐암 1기 환자들을 위한 중요한 요소입니다. 유산소 운동은 체력과 건강을 향상시키며 면역력을 증가시킬 수 있습니다. 일상적인 활동이나 걷기, 자전거 타기와 같은 운동을 일정한 주기로 실천하는 것이 좋습니다.
끝으로, 정기적인 건강 검진도 폐암 1기 환자들에게 권장되는 습관입니다. 폐암의 조기 발견은 생존율을 향상시키는 데 큰 역할을 합니다. 따라서, 정기적으로 의사와 상담하고 검진을 받는 것이 중요합니다.
폐암 1기 환자를 위한 생활습관 개선 방법은 금연, 식단 조절, 운동 실천, 정기적인 건강 검진 등 다양한 요소를 포함합니다. 이러한 습관들을 실천함으로써 폐암 환자의 생존율을 향상시키고 건강을 유지할 수 있을 것입니다. 그러므로, 폐암 1기 환자들은 이러한 개선 방법들을 알고 실천하여 건강한 삶을 영위할 수 있도록 노력해야 합니다.
폐암은 치료하기 어려운 암 중 하나입니다. 그러나 1기 폐암의 진단과 초기 치료 방법에 대해 더 많이 알게 되면 생존율이 향상될 수 있습니다. 빠른 진단과 조기 치료를 통해 폐암의 예후를 개선할 수 있습니다. 폐암 1기에서는 수술, 방사선 치료, 항암제 치료 등을 중심으로 치료 계획이 구성됩니다. 이러한 초기 치료 방법들은 암의 조기 시점에 집중하여 암세포를 효과적으로 제거하고 폐암의 확산을 억제할 수 있습니다. 폐암 1기의 진단과 초기 치료에 대한 연구는 계속해서 진행되고 있으며, 향후 더 나은 치료 방법이 개발될 수 있음을 기대합니다.
댓글